by
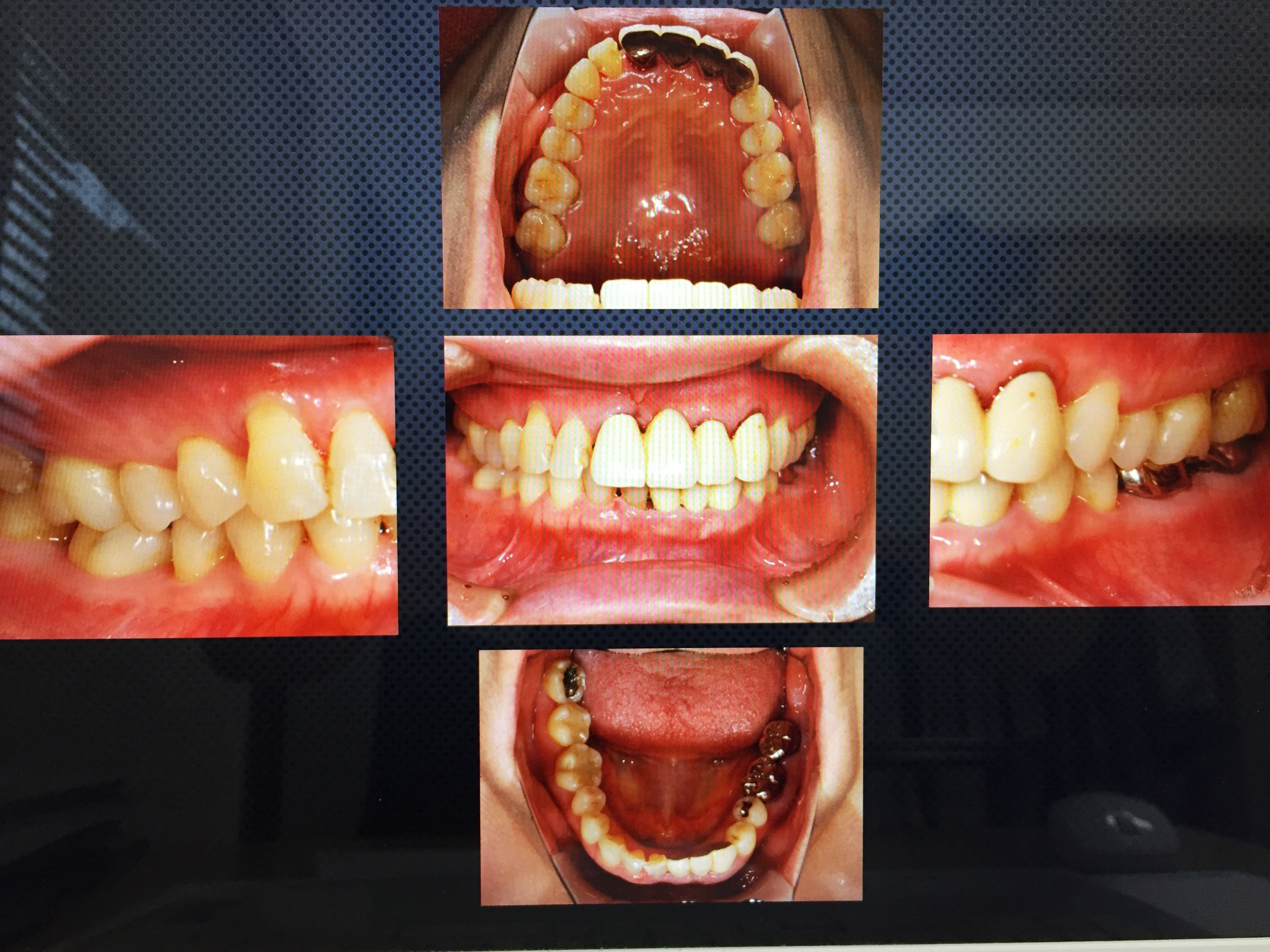
News Ŏ腔 Ņ Ņ真 Ƒり Ɩ More. Web 口腔内写真には、さまざまな撮影方法がありますが、ここでは口腔内写真5枚法について紹介します。 口腔内写真5枚法 1.撮影に使用する器具 口腔内撮影用カ. Web 口角鈎は後方へ引く(撮影の反対側はやや前方に軽く引く) エアーでしっかりと乾燥させる 咬合平面がまっすぐで上顎の3番が中心、臼歯部まで写るように 咬合.

Web 口腔内写真には、さまざまな撮影方法がありますが、ここでは口腔内写真5枚法について紹介します。 口腔内写真5枚法 1.撮影に使用する器具 口腔内撮影用カ. 514 views 6 months ago #口腔内写真を身近にする情報を発信中. Web 口腔内の写真を撮るときに できれば あらかじめ その目的をはっきりしておくのがいいでしょう。.
514 views 6 months ago #口腔内写真を身近にする情報を発信中. Web 口角鈎は後方へ引く(撮影の反対側はやや前方に軽く引く) エアーでしっかりと乾燥させる 咬合平面がまっすぐで上顎の3番が中心、臼歯部まで写るように 咬合. Web ①咬合平面を水平にする ②臼歯部の撮影はピントを6番に合わせる ③撮影したい画像をイメージできるようにする (歯と歯肉)と(余白)の幅 カメラのファイン.